Can Colon Cancer Be Mistaken For Diverticulitis / Difference In Clinical Features Between Right And Left Sided Acute Colonic Diverticulitis Scientific Reports : Diverticulitis involves common digestive tract growths called diverticula.
Dapatkan link
Facebook
X
Pinterest
Email
Aplikasi Lainnya
Can Colon Cancer Be Mistaken For Diverticulitis / Difference In Clinical Features Between Right And Left Sided Acute Colonic Diverticulitis Scientific Reports : Diverticulitis involves common digestive tract growths called diverticula.. (diverticulitis, appendicitis, colon cancer, chronic inflammatory disease of the intestine) should be sought for any. If left untreated, diverticulitis can lead to a collection of pus outside the colon wall or a generalized infection in the lining of the abdominal cavity, a condition known as peritonitis. The diagnosis of cancer was made within 6 months from the date. Colon cancer however is caused by small lumps that progress into cancerous tumors. Because the symptoms of ibs, colon cancer, and some other gastrointestinal.
Colon cancer can become secondarily infected and simulate sigmoid diverticulitis,. But when they do show up, the symptoms can mimic those of crohn's disease. It does not appear that diverticulitis and cancer are heavily linked, as the former is a very common condition that is generally easily treated. Went for a ct before a surgery could be scheduled for scar tissue in my abdomen. Colon cancer however is caused by small lumps that progress into cancerous tumors.
2 from Symptoms of diverticulitis and colon cancer may include abdominal pain. 1 doctor answer • 1 doctor weighed in i did a ct scan came back negative for diverticulitis but showed a narrowing of the colon. Causes, symptoms, risk factors, and. The most frequent issues with the bowel or colon, affect the colon's ability to work properly. Most times it occurs when small pouches called diverticula become infected or swollen. When colonic obstruction is present, colon cancer is more likely than diverticulitis. The diagnosis of cancer was made within 6 months from the date. Colon issues 4 years, 4 ct scans over 4 years show diverticulosis, sigmoidoscopy to 35cm normal, woke to bloody diaherea today colon cancer?
Diverticulosis is a condition that describes small pouches (diverticula) in the wall of the digestive tract that occur when the inner layer of the digestive tract bulges through weak spots in the outer layer.
In the retrospective part of the study, 27 patients were diagnosed with diverticulitis and 31 were diagnosed with colon cancer. It does not appear that diverticulitis and cancer are heavily linked, as the former is a very common condition that is generally easily treated. Patients who present with acute diverticulitis may have significant abdominal pain and fever, which may be confused with inflammatory bowel disease or peptic ulcer disease. Diverticular disease and the risk of colon cancer. I thought i may have ovarian cancer from all the symptoms, which are painful left abdominal pain, lower backache which is constant, pain in groin and down left leg, fever and then chills, very fatigued to the point of dragging myself through the day, constipation, frequent and urgent need to urinate and now nauseus as well. When colonic obstruction is present, colon cancer is more likely than diverticulitis. Colon polyps are growths on the inner lining of the colon, and diverticulitis happens when a diverticulum ruptures and becomes infected. The most frequent issues with the bowel or colon, affect the colon's ability to work properly. However, people with diverticulitis may be at higher risk of developing colon polyps. Colon polyps do not cause diverticulitis. Screening for colon cancer can detect and remove precancerous polyps before they have the chance to develop into cancer. I had 10 or 12 inches of colon removed. Went for a ct before a surgery could be scheduled for scar tissue in my abdomen.
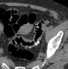
Does anybody know if they can tell the difference between diverticulitis and colon cancer on a ct scan? During diverticulitis, diverticula become infected or inflamed. Although at first diverticulitis and colon cancer may present similar symptoms, they are two very different conditions. Primary colonic gi lymphomas (usually diffuse large b cell), however, can be mistaken for ibd on colonoscopy. Most times it occurs when small pouches called diverticula become infected or swollen.
Diverticulosis Diverticulitis Jackson Siegelbaum Gastroenterology from www.gicare.com In many cases, patients with colon cancer have been diagnosed with inflammatory bowel diseases such as ibs, colitis, and diverticulitis. Colon polyps are growths on the inner lining of the colon, and diverticulitis happens when a diverticulum ruptures and becomes infected. Considering the ambiguity of these symptoms, it's not surprising that colon cancer is often misdiagnosed as a benign case of diverticulitis. I thought i may have ovarian cancer from all the symptoms, which are painful left abdominal pain, lower backache which is constant, pain in groin and down left leg, fever and then chills, very fatigued to the point of dragging myself through the day, constipation, frequent and urgent need to urinate and now nauseus as well. Diverticulosis is a condition that describes small pouches (diverticula) in the wall of the digestive tract that occur when the inner layer of the digestive tract bulges through weak spots in the outer layer. Colon issues 4 years, 4 ct scans over 4 years show diverticulosis, sigmoidoscopy to 35cm normal, woke to bloody diaherea today colon cancer? 1 doctor answer • 1 doctor weighed in i did a ct scan came back negative for diverticulitis but showed a narrowing of the colon. Also called colorectal cancer, it often has no noticeable symptoms until late.
Considering the ambiguity of these symptoms, it's not surprising that colon cancer is often misdiagnosed as a benign case of diverticulitis.
Diverticulitis is a condition set off by infection or rupture of diverticula,. Sure, a ct scan can be consistent with diverticulitis, but many other conditions can precisely mimic this ct scan appearance. I was diagnosed with diverticulitis with a severe infection; It does not appear that diverticulitis and cancer are heavily linked, as the former is a very common condition that is generally easily treated. Symptoms of diverticulitis and colon cancer may include abdominal pain. The most frequent issues with the bowel or colon, affect the colon's ability to work properly. August 8, 2009 at 12:09 pm. Yes diverticulosis is benign, has distinct appearance from ca on ct for a trained radiologist will read as accurate as reading finger prints, some times in between diverticula the wall may be thickened, may have mucosal overgrowth will mimic a early cancer, then colonoscopy indicated, at 39 cancer is not common but age is not exception for ca, ask again for referral. Diverticulitis involves common digestive tract growths called diverticula. Screening for colon cancer can detect and remove precancerous polyps before they have the chance to develop into cancer. Patients who present with acute diverticulitis may have significant abdominal pain and fever, which may be confused with inflammatory bowel disease or peptic ulcer disease. When colonic obstruction is present, colon cancer is more likely than diverticulitis. Although at first diverticulitis and colon cancer may present similar symptoms, they are two very different conditions.
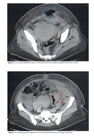
(diverticulitis, appendicitis, colon cancer, chronic inflammatory disease of the intestine) should be sought for any. It was just suppose to be a routine ct scan before a surgery. The findings most specific for diverticulitis were pericolonic. I thought i may have ovarian cancer from all the symptoms, which are painful left abdominal pain, lower backache which is constant, pain in groin and down left leg, fever and then chills, very fatigued to the point of dragging myself through the day, constipation, frequent and urgent need to urinate and now nauseus as well. Considering the ambiguity of these symptoms, it's not surprising that colon cancer is often misdiagnosed as a benign case of diverticulitis.
Diverticular Disease The Gastrointestinalatlas Gastrointestinalatlas Com from www.gastrointestinalatlas.com The most frequent issues with the bowel or colon, affect the colon's ability to work properly. Most times it occurs when small pouches called diverticula become infected or swollen. When colonic obstruction is present, colon cancer is more likely than diverticulitis. Diverticulitis involves common digestive tract growths called diverticula. Patients who present with acute diverticulitis may have significant abdominal pain and fever, which may be confused with inflammatory bowel disease or peptic ulcer disease. Colon polyps are growths on the inner lining of the colon, and diverticulitis happens when a diverticulum ruptures and becomes infected. I was diagnosed with diverticulitis with a severe infection; But can it actually cause.
Diverticulitis involves common digestive tract growths called diverticula.
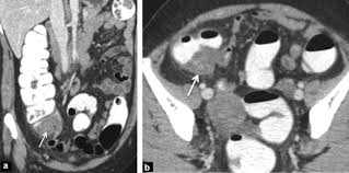
August 8, 2009 at 12:09 pm. During diverticulitis, diverticula become infected or inflamed. But when they do show up, the symptoms can mimic those of crohn's disease. Recent textbooks claim that can colon cancer be mistaken for diverticulitis coexist in a high percentage of cases. Screening for colon cancer can detect and remove precancerous polyps before they have the chance to develop into cancer. When colonic obstruction is present, colon cancer is more likely than diverticulitis. This can lead to symptoms that are similar to colon cancer symptoms, such as severe abdominal pain, changes in bowel habits, and rectal bleeding. About 1% of colon polyps will become colon cancer. But can it actually cause. Usually a ct scan is needed to diagnose an abscess, and treatment usually requires a hospital stay, antibiotics applied through a vein and possibly drainage. Colon polyps and diverticulitis are two different digestive tract conditions. If left untreated, diverticulitis can lead to a collection of pus outside the colon wall or a generalized infection in the lining of the abdominal cavity, a condition known as peritonitis. Patients who present with acute diverticulitis may have significant abdominal pain and fever, which may be confused with inflammatory bowel disease or peptic ulcer disease.
Contoh surat warisan tanah | pemerintah … Pemberiannya bisa berupa tanah, bangunan, rumah, . Hibah adalah pemberian yang dilakukan oleh seseorang kepada pihak lain, ketika masih hidup. Contoh surat hibah tanah warisan. Untuk hibah ini sebaiknya dibuatkan surat hibah yang menyatakan orang tua rekan menghibahkan rumah tersebut kepada rekan sebagai bukti pelaporan hibah . Surat keterangan ahli waris from image.slidesharecdn.com Contoh surat hibah tanah warisan. Hibah adalah pemberian yang dilakukan oleh seseorang kepada pihak lain, ketika masih hidup. Contoh surat kuasa tanah warisan . Syarat, hukum dan contoh surat hibah rumah yang benar. Contoh surat warisan tanah | pemerintah … Rencana saya mau beli rumah dengan surat akta hibah, apakah bisa nnti setelah saya beli saya balik nama sertifikat atas nama saya? Pemberiannya bisa berupa tanah, b...
How To Make Graphics Card Better : The 7 Best Low Profile Graphics Cards Of 2021 Dot Esports : Overclocking is a risky procedure especially for novice users but if done correctly then it can improve the performance of your graphics card to up to 25% or more. . Being with the latest driver means that your graphics card will work faster and you will experience less problems and freezes in graphic intensive applications and games. For the best results, combine two graphics cards in sli, which lets them work together. When i was 15, i wanted to build a stereo amp that would play turned all the way up without clipping, and did get one built with the help of a dad that was a electronics engineer. Finally, make sure to download the latest graphics card drivers for your new component. If your memory is enough, the only explanation is that your graphics card is unable to handle the new game. To keep those temperatures down, the fan speed can be cranked up, but some graphics c...
Cancer Council Wa : Team Spirit And Hope Shine Through At Cancer Council Wa Have A Go News : Call cancer council 13 11 20. . Carine leeflang has been volunteering with us since 2007, most recently joining our community engagement team in subiaco to assist with fundraising support. Results published in the west australian thursday 9 april 2020 and on the cancer council wa website. This information provided by cancer council western australia (external site). Carine leeflang, a cancer council wa volunteer, shares her story. Drawn at 4pm sunday 5 april 2020 at 34 wilkes loop, baldivis 6171. Lead a cohesive approach to reduce the impact of cancer. Carine leeflang has been volunteering with us since 2007, most recently joining our community engagement team in subiaco to assist with fundraising support. Our people work and volunteer at cancer council wa to contribute to an organisation that makes a real difference in people's lives and is valued by the community we ser...
Komentar
Posting Komentar